ありがとうございます
2022年1月29日(土)

とても美味しく可愛らしいお大福患者様より
いただきました。みんなで美味しくいただきました!いつもいつもありがとうございます♪
感染症に対し全力で感染対策しております。
頑張っていきましょう。
スタッフ一同
ニコニコアイスクリーム
2022年1月27日(木)

休憩時間アイスクリームを食べて
笑顔が溢れます〜❤️
食べていくとどんどんアイスクリームから笑顔が出てきます。みんなで楽しいひととき。
さっ午後の診療もたくさん患者様いらしていただきます!エネルギーつけてがんばります💕💕💕💪
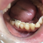
セラミックって綺麗
2022年1月27日(木)

今ある銀歯を全て白い歯にしたいと
ご来院していただいている患者様です。とても綺麗な女の方です。マスク生活のうちに美活動にはげまれるそうです。💕
その方に似合う色合わせをし型をとりセラミックセットとなります。ツルツルしていて舌触りも最高です。あと一歩奥を銀歯をセラミックにしたらこの方の処置は終了となります。口元も素敵になりさらにきれいになられますね。
義歯(入れ歯)は自由自在
2022年1月27日(木)

上顎の歯を失いなるべく小さく違和感を少しでも感じない義歯を求めている患者様です。
安定感を維持しつつ舌の動きもよくしお食事の温度や硬さなど感じえやすい設計にしてみました。バータイプは患者様にご好評いただいています。義歯でお悩みの方は是非ご相談ください。
入れ歯ってすごいです!
2022年1月24日(月)

歯を失いお食事しにくい方もたくさんいらっしゃると思いますが大丈夫です‼️
必ずお肉でもお刺身でもおいしくたべれるようになりますよ❣️入れ歯の厚さが無理ですという方は薄くすることもできます。是非ご相談ください⭐️⭐️⭐️⭐️⭐️⭐️⭐️🙋♀️


